Your Family-Friendly Dentist in Wishart for Your Every Dental Care Need
As a trusted, family-friendly dentist in Wishart, we offer affordable and personalised care for all ages. Experience quality dental services that can keep your family’s smiles healthy.

Comprehensive Dental Care for Healthier, Happier Smiles
General Dentistry
Achieve a healthy, vibrant smile with our comprehensive general dentistry services focused on prevention and early treatment for patients. From routine cleanings to dental fillings, we provide personalised care tailored to your needs, supporting long-term oral health.

Cosmetic Dentistry
Get the smile you’ve always wanted with our cosmetic dentistry procedures that enhance both appearance and confidence. Our personalised approach aims to provide natural, long-lasting results to help you feel great about your smile every day.

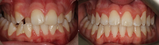
Restorative Dentistry

Dental Implants

Orthodontics

Emergency Dentist

Why Choose Southside Friendly Dental Care

Comprehensive Dental Services
We offer a full range of treatment options, from preventive care to advanced treatments, for all ages.
Comprehensive Dental Services for All Patient Needs
Southside Friendly Dental Care offers a full spectrum of dental services to meet every patient’s needs. From preventive care and restorative dentistry to advanced orthodontics and cosmetic enhancements, we cover all aspects of dental health care. It is our goal to deliver comprehensive, high-quality care for patients of all ages.

Patient-Centred Approach
We are dedicated to personalised, compassionate care, prioritising patient comfort and trust.
Patient-Centred Approach for Comfort and Personalisation
At Southside Friendly Dental Care, patients are at the heart of every treatment. Our team takes time to understand each individual’s concerns and tailors their treatment to prioritise comfort and trust. We take this patient-focused approach to make everyone feel respected, informed, and supported throughout their dental experience.

Experienced Dental Team
Our team is experienced and skilled in providing modern, high-quality care in a welcoming environment.
Experienced Dental Team Committed to Quality Care
The skilled dentists at Southside Friendly Dental Care bring extensive experience and dedication to each appointment, providing patients with high-quality treatment. Our team stays current with advanced training and modern techniques to deliver quality care in a warm, friendly setting. This commitment helps patients achieve and maintain healthier smiles.

Convenient Payment Options
We strive to make dental care accessible and affordable with various payment options.
Convenient Payment Options for Affordable Dental Treatments
We believe in making dental health care accessible for everyone by offering flexible and convenient payment options to ease financial concerns. Our commitment to affordability allows patients to receive both essential and elective treatments without stress. We aim to support everyone in achieving and maintaining their long-term oral health goals.
GAP FREE or $199 New Patients Offer
- No Gap for patients with eligible health funds
- $199 for patients without health insurance (includes comprehensive examination, scale and clean, and X-rays)
Whether you’re covered by a health fund or not, we’ve made it easier to get started with us.
T&C apply

Book Your Appointment Today for a Healthier, Brighter Smile


Dedicated to Patient Comfort and Quality Care
Southside Friendly Dental Care is committed to providing high-quality and effective dentistry. Led by an experienced dentist like Dr. Grishma Chaudhari (DEN0002332547), the clinic delivers patient-centred care with advanced treatments. From orthodontics to minimally invasive procedures, their team strives to make each visit as effective and stress-free as possible. Patients can rely on a supportive team dedicated to creating positive experiences for every family member.
See How We Make Smiles Brighter and Happier




All images and videos are shared with patient consent and are for general informational purposes only. Results, risks, and recovery times vary for each individual and should not be considered medical advice. For more information and considerations, please refer here.
Patient Experiences That Reflect Our Dedication to Quality
Monnapa
Tracey
Aks
Lily
Rothymn
Katherine
Pratik
The Wan The Naw
Richard
Vrisha
Jan
William
Monnapa
Tracey
Aks
Lily
Rothymn
Katherine
Pratik
The Wan The Naw
Richard
Vrisha
Jan
William
Find Answers to Your Dental Care Questions
What should I expect during my first visit?
During your first visit to Southside Friendly Dental Care, you can expect a warm welcome and a thorough orientation. Here’s a step-by-step guide to your first visit:
- Welcome and comfort:
Upon arrival, our reception team will greet you warmly. We prioritise making you feel relaxed and ready for your appointment, discussing any initial concerns or needs. - Medical history form:
You’ll fill out a detailed medical history form to record essential health information. This step helps us tailor our approach to your specific dental and general health conditions. - New patient examination:
The dentist conducts a thorough examination of your teeth, gums, oral tissues, and jaw alignment. They check for signs of decay, gum disease, and other oral health issues to get a comprehensive understanding of your dental health. - X-rays and intraoral images:
We use modern diagnostic tools like X-rays to check oral health status and detect decay or other dental issues. The intraoral camera takes high-resolution images of your natural teeth and gums, which are displayed on a chairside monitor, allowing you to see the same views as your professional dentist. - Explanation of findings:
Your experienced dentist explains the results from the X-rays and images, discussing each finding and any areas of concern. This conversation aims to inform you about your current oral health and any preventive measures or treatments needed. - Treatment plan and pricing:
We provide a detailed treatment plan, including all recommended dental procedures, their purposes, and costs. This transparency helps avoid any surprises and aids in your decision-making process.
After your first visit, you’ll have a clear picture of your dental health and the next steps in your treatment journey. This allows you to leave the clinic well-informed and confident about your dental treatments.
How often should I schedule dental check-ups?
Dental check-ups should normally be scheduled every six months. However, certain conditions may require more frequent visits to your dentist in Wishart:
- Gum disease:
Patients with gum disease may need to see their professional dentist more often, potentially every three to four months. - High risk for cavities:
People at high risk of dental decay benefit from check-ups every three to four months. - Braces or other dental appliances:
Patients with braces or dental appliances need to visit their dentist every one to two months for adjustments and monitoring. - Pregnancy:
Pregnant women should consider more frequent check-ups to manage changes in oral health during pregnancy.
Staying proactive about dental health helps in the early detection and management of potential issues. Regular visits to your dentist keep your smile healthy and bright.
Do you accept health funds or offer payment plans?
How can I maintain oral health at home?
Maintaining oral health at home involves consistent and proper dental care practices. Here are key steps to support healthy teeth and gums:
- Brush twice daily:
Use proper oral care products, such as a soft-bristled toothbrush and fluoride toothpaste, to brush for two minutes in the morning and evening. - Floss daily:
Floss once daily to remove plaque and food particles from hard-to-reach tooth surface areas. - Rinse with mouthwash:
Choose an alcohol-free mouthwash to reduce bacteria and freshen your breath. Rinse for about 30 seconds after brushing and flossing. - Limit sugary foods and drinks:
Reduce your intake of sugary snacks and beverages, as they increase the risk of tooth decay and gum disease. - Stay hydrated:
Drinking water throughout the day helps wash away food particles and keeps your mouth moist. - Replace your toothbrush regularly:
Change your toothbrush every three months or sooner if the bristles are frayed. Worn bristles clean less effectively.
Taking these steps consistently will help you maintain good oral hygiene between dental visits. Practising these habits supports a healthy smile and contributes to overall health.
Is there parking available near the clinic?
Yes, ample parking is available near Southside Friendly Dental Care. You’ll find both outdoor and undercover options to make access easy. The area can get busy at times, so we recommend arriving a bit early.
How can I book an appointment with Southside Friendly Dental Care?
You can book an appointment with Southside Friendly Dental Care directly through our designated booking page on the website or by calling the clinic. The booking page allows you to select your preferred date, time, and type of service quickly and conveniently. If you prefer speaking with someone, our friendly team can help secure your dental appointment and answer any questions over the phone.